Coroas e facetas dentárias

Sorriso porcelana

Prótese Dentária: Faceta, laminado, bloco e coroa de porcelana; prótese fixa, sobre implante e removível.

O sorriso é o principal traço de nossa fisionomia. A perda de um ou mais elementos dentários pode provocar alterações fisiológicas e psicológicas, como dificuldade de mastigação, modificação na forma de falar, baixa auto-estima, entre outros.
A prótese dentária é a especialidade da odontologia que realiza a reabilitação bucal, restabelecendo a estrutura dentária ou substituindo dentes perdidos, devolvendo ao paciente a função mastigatória, melhorando a sua fonação e promovendo um sorriso harmonioso, o que, evidentemente, contribui para o seu bem-estar pessoal e social.
A reabilitação protética é feita com dentes artificiais, que podem ser fixados através de implantes ou de remanescentes dentários. Próteses unitárias, pontes, protocolos, dentaduras, etc., a sua reabilitação bucal é feita com qualidade na ORTOMIX.

Os materiais utilizados na Ortomix nas reabilitações de prótese dentária são:

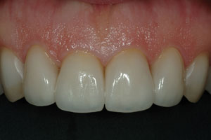
  • Facetas e laminados de porcelana “lentes de contato dental”- são parecidos com lentes de contato, são extremamente finos e são aplicados sobre a superfície do dente para recobrir dentes fortemente manchados ou descoloridos, dentes fraturados ou que mostram sinais de envelhecimento, dente com diastema ou desalinhados e dentes com manchas de tetraciclina;

  • Blocos cerâmicos – usado na confecção de blocos para a reconstrução de perdas parciais da estrutura dentária garantindo um resultado estético;

 

  • Cerâmica pura – coroa dental de porcelana pura, indicada principalmente para os dentes anteriores (dentes da frente);

Porcelana anterior

 

  • Protocolos – reabilitação da arcada superior e/ou inferior através de implante e prótese com carga imediata ou não, dependendo do diagnóstico e indicação. Assim as dentaduras e próteses removíveis podem ser substituídas, definitivamente, por implantes e próteses fixas.

Vídeos

 

Deixe um comentário